「キレイ」なだけじゃない
「しっかり噛める美しい歯」を追求します

お問い合わせ・ご予約045-834-4868
| 診療時間 | 月 | 火 | 水 | 木 | 金 | 土 | 日 | 祝 |
|---|---|---|---|---|---|---|---|---|
| 09:30 ~ 17:30 | ● | ● | / | ● | ● | ● | / | / |



「詰め物の変色が気になる」
「前歯のすきっ歯を改善したい」
「前歯が欠けてしまった」
こうした部分的なお悩みには、「ダイレクトボンディング法」という治療方法がおすすめです。歯を削る量を最小限に抑えながら、歯の色に合わせたレジン(プラスチック樹脂)で修復する方法です。セラミック治療に比べて通う回数が少なく、費用が抑えられるメリットがあります。適応できるケースは多くありませんが、興味をお持ちでしたら一度ご相談ください。

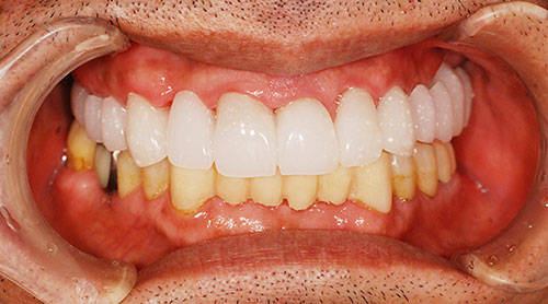
当院のセラミック治療は、単に外見をよくするだけでなく、「噛み合わせ」や「噛み心地」といった機能性も重視しています。なぜなら、見た目の美しさだけを手に入れても、「噛み合わせが悪くて頭痛や肩の痛み、腰痛などの不調」が起きてしまえば、よい審美治療とは言えないからです。美しい歯を提供することに加えて、患者さんの健康にも寄与したいという思いから、当院の審美治療には以下の特徴があります。

歯の型取りといえば、「印象材」という粘度のようなものを使う方法を経験したことのある方も多いでしょう。しかし、印象材を使う方法は圧迫感があるため、嘔吐反射が強い方など苦手な患者さんもいらっしゃいます。型取りの精度も高いとはいえないものです。
そのため当院では、「iTero5D」と呼ばれる精密機器を使用しています。iTero5Dを使用するメリットは次の通りです。

iTero5Dメリットとしてまず挙げられるのは、型取りの精度が高いことです。ペン型カメラでお口の中をスキャンすることで、3D情報をリアルタイムで取得できます。歯の形を高い精度でキャプチャでき、取得したデータは必要に応じて調整も可能です。

ペン型のカメラでお口の中を撮影するので、印象材を使う方法よりも短時間で型取りが終わります。また、印象材を使用した時のような圧迫感がないので、嘔吐反射が強い方でも負担なく型取りできます。

iTero5にはカリエスチェックと言って、初期の虫歯を探知する機能があります。専門的な話になるため、簡単にお伝えさせていただきますが、近赤外線技術を活用することで、虫歯箇所が白っぽく映り、早期発見、治療が可能になります。



セラミック治療では、天然歯と被せものの間に、隙間ができてしまうことがあります。隙間が開いていると、そこから虫歯菌が侵入し、気付かないうちに虫歯が進行してしまうこともあります。
当院では隙間のない仕上がりにするため、「マイクロスコープ」と「高倍率ルーペ」によって、患部の様子を細かいところまで詳しく視認できるようにしています。
こうした道具を使うことでどのくらい見え方が違うか、少しご紹介しましょう。下の画像は、お札の模様をマイクロスコープと肉眼で見比べたものです。


見え方の違いが、よくお分かりいただけると思います。小さなパーツが細部まで鮮明に見えるので、隙間の有無も見落とさずに治療できます。

審美治療では、患者さんが求める仕上がりを実現することも大切です。ですが、人によって思い描いている仕上がりのイメージは異なります。齟齬のない審美治療を実現するには、患者さんと私たちのイメージをすり合わせることが重要です。そのために行っている当院の取り組みについてご紹介します。

治療を始める前に、まずはカウンセリングを行います。患者さんの求めている仕上がりをヒアリングするとともに、模型や過去の症例写真をご覧いただきながら、具体的な完成イメージを共有していきます。

患者さんの歯型から作った模型を使い、歯の形や配置のイメージを共有します。具体的にイメージが固まっている人は、雑誌の切り抜きなどをご持参ください。
イメージがまだぼんやりしているという方は、過去の症例や模型を使用して、一緒に理想の口元を考えていきましょう。

特に審美性が求められる前歯の治療では、最終的な被せものを作る前に、仮歯を入れて歯の形や配置、噛み合わせを微調整します。

審美治療では患者さんの理想のイメージに近づけることが重要ですが、それだけでは「主観的な美しさ」しか実現できません。ですが、審美治療を求める患者さんのお気持ちは、「自分を美しいと感じたい+他人からも美しく見られたい」というものではないでしょうか。そうであれば、自分が満足できるだけでは、治療の目的が半分しか達成できませんよね。
そのため当院では歯科治療のプロとして、「客観的な美しさ」も考慮したセラミック治療を提案しています「客観的に見て美しい歯」を叶えるには、次の4つのポイントを押さえるとよいといわれています。

笑ったときに、下唇のアーチと歯並びのアーチが平行であることが、美しい口元の条件の一つとされています。
著者: 山崎長郎 クインテッセンス出版: エステティック クラシフィケーションズ より引用

上前歯の幅は、「中切歯:側切歯:犬歯=1.6:1:0.6」の割合が美しいとされています。

顔を真ん中から左右の分ける縦のラインを、「正中線」といいます。上前歯の中心ラインが、正中線に重なるように整えると、全体的にバランスのよい歯並びに見えます。

口元を美しく見せるには、歯茎の美しさも大切です。当院では、歯の根元部分にかぶさっている「生物的幅径(ふくけい)」を考慮した、お口への適合性がよい被せものを作っています。

被せ物の製作を行うのは、歯科医師ではなく歯科技工士です。当院では、歯科技工士と密に連携を取り、早く美しい被せ物をご提供しています。
また、技工士によるシェードチェックも行っています。患者さんのお口全体のバランスを考えて、相応しい形、色合いに調整していきます。もちろん、噛み合わせ等についても細かく調整を行います。

「保険適用で白い歯にしたい」
「昔に詰めた銀歯が気になる」
こうしたお悩みの方には、「CAD/CAM冠(キャドカムかん)」という被せものが使えることがあります。以前は保険適用で白い被せものが作れるのは前歯の前側だけでしたが、近年になって奥歯の一部にも白被せものが作れるようになりました。それが「CAD/CAM冠」です。
「CAD/CAM冠」とはプラスチックのレジンに、陶器素材であるセラミックを混ぜたものです。金属は含まれていないので、金属アレルギーの方にも使えます。金属によって歯茎が黒ずむ「メタルタトゥー」も起こりません。
デメリットは、親知らずなど外から見えにくい歯は適用外であることと、レジンが使われているので経年劣化による変色が生じること、銀歯に比べると割れやすいことが挙げられます。
また、強度に若干の問題があることから、歯の残り具合などによっては、銀歯の方がよい場合もあります。詳しくはお口の状態を診察の上、提案できる治療方法を説明いたします。興味がある方はお気軽にお尋ねください。

当院では歯肉マッサージ、口輪筋&咬筋のつぼ押しをはじめとした、「デンタルエステ」も行っております。歯医者でエステ?と思われるかもしれません。
しかし、お口の専門家である歯医者だからこそ、お口周りからお顔全体に対する美しさのご提案ができると考えております。具体的には、次のようなメニューをご用意しています。

【歯肉マッサージ】
歯肉マッサージは歯肉の血行を良くする効果があります。血行が良くなると、栄養や酸素が適切に歯肉に届きやすくなるため、歯肉の健康を持することができます。また、歯周ポケットに溜まっている食べかすや細菌を除去したり、お口周りの筋肉を緩めるため、リラックス効果も期待できます。
【口輪筋&咬筋のつぼ押し】
口輪筋、咬筋などお口周りの筋肉のつぼを刺激することで、口腔内の血行を促進します。口臭予防、歯周病予防に効果的なだけではなく、ほうれい線の解消も期待できます。
【フェイシャルエクササイズ】
お顔のしみやシワの原因は、顔の筋力の低下です。顔の筋力のおよそ70%はお口周りに集中していると言われているめ、お口周りの筋肉を適切に鍛えることで、いつまでも若々しい印象を保てます。
この他にもさまざまメニューをご用意しています。詳細は料金表料金表をご覧ください。
当院では、患者さんが抱えていらっしゃるお口のお悩みや疑問・不安などにお応えする機会を設けております。どんなことでも構いませんので、私たちにお話ししていただけたらと思います。
ご興味がある方は下記からお問い合わせください。